General Surgery Quiz 1

The following is an example of a normal supine abdominal x-ray:

normal-abdominal-x-ray-1.jpg

Question 1
Comparing with above, what is the pathological abnormality in the following abdominal x-ray?

Screen Shot 2020-05-10 at 7.36.02 pm.png
Hover over the icon for the answer:
Small Bowel Obstruction (SBO), indicated by central location of bowel loops and presence of transverse mucosal bands (plicae circulares)

Question 2
Compare to the following abdominal x-ray. What pathological abnormality is now shown here?

Screen Shot 2020-05-10 at 7.24.45 pm.png
Answer:
Large Bowel Obstruction (LBO) at the rectum, indicated by dilated peripheral bowel loops up til the sigmoid colon.

Question 3
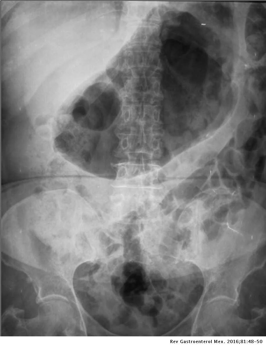
What is the pathological abnormality in this abdominal x-ray?

gr3.jpeg
Answer:
Gastric dilation (enlargement and distension of gastric chamber with air)

Question 4
What are possible causes of the above presentation?

Answer:
1. Gastric outlet obstruction - pyloric ulcer/carcinoma causing mechanical obstruction. 2. Atonic Dilation - post-operative complication, diabetic coma, trauma, pancreatitis, hypokalaemia causing aperistalsis

Question 5
How would you treat this presentation?

Answer:
Nasogastric aspiration