Neuroanatomy Quiz 2

Questions 1-4 are based off the following two images:

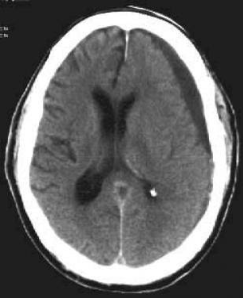
Image 1

Image 1

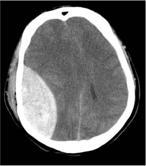
Image 2

Image 2

Question 1
Name the type of haemorrhage in each image.

Hover over the icon for the answer:
Image 1: Subdural haemorrhage, Image 2: Extradural (Epidural) haemorrhage

Question 2
Describe the shape of the haematoma in each image.

Answer:
Image 1: Crescent, Image 2: Lentiform/Biconvex

Question 3
What vessels are characteristically damaged in each image?

Answer:
Image 1: Cortical bridging veins, Image 2: Middle meningeal artery

Question 4
Other than shape and origin of bleed, what other characteristic distinguishes the above two bleeds from each other?

Answer:
Subdural bleeds cross suture lines, extradural bleeds do not

Question 5
What is the abnormality circled in the following CT scan?

94853600_854180378399951_5566602263603970048_n.jpg
Answer:
Left MCA bifurcation aneurysm